ページの本文です。
当整形外科は、日本整形外科学会研修認定施設であると同時に、慶應義塾大学整形外科学教室の関連病院として各分野の専門医を揃え、質の高い医療の提供に努めております。特に人工関節、膝関節外科、股関節外科、手の外科、小児整形外科、肘・肩関節の外科、脊椎外科、足の外科、骨折一般外傷など整形外科のほぼすべての領域にわたるスタッフを要し、年間1,100件前後の手術を行っております。極めて稀で難しい疾患では慶應大学病院整形外科を中心に専門の先生に紹介する体制を敷いています。また看護師の教育・指導にも力を入れております。今後の患者さんからのニーズに応えられるように、ホスピタリティーを含めて体制をさらに充実させ、さいたま市民、および周辺の埼玉県民の患者さんに高度で優しい治療を目指していきます。
| 氏名 | 役職 | 専門分野 | 資格 |
|---|---|---|---|
| 小久保 哲郎 | 部長 | 足/足関節 | 日本整形外科学会認定 整形外科専門医 日本整形外科学会認定 スポーツ医 日本整形外科学会認定 リウマチ医 日本足の外科学会認定 足の外科認定医 日本足の外科学会認定 外側進入人工足関節アドバンスユーザー さいたま市身体障害者福祉法第15条指定医(肢体不自由) 難病指定医 |
| 武田 健太郎 | スポーツ医学 総合センター所長 |
人工股関節 股関節 |
|
| 藏本 哲也 | リハビリテーション科 部長 |
脊椎・脊髄 |
日本整形外科学会認定 整形外科専門医 日本整形外科学会認定 脊椎脊髄病医 日本整形外科学会認定 運動器リハビリテーション医 日本脊椎脊髄病学会認定 脊椎脊髄外科指導医 脊椎脊髄外科専門医 Balloon Kyphoplasty(BKP)技術認定医 OLIF Certificate技術認定医 XLIF Certificate技術認定医 頚椎人工椎間板技術認定医 さいたま市身体障害者福祉法第15条指定医(肢体不自由) 難病指定医 |
| 細澤 徹自 | 科長 | 上肢 | 日本整形外科学会認定 整形外科専門医 |
| 富田 雄亮 | 医長 | 脊椎・脊髄 | 日本整形外科学会認定 整形外科専門医 難病指定医 |
| 山田 唯一 | スポーツ医学 総合センター 医長 |
肘・肩関節 | 日本整形外科学会認定 整形外科専門医 日本スポーツ協会 公認スポーツドクター |
| 片山 正典 | 医長 | 上肢 | 日本整形外科学会認定 整形外科専門医 |
| 前島 成 | 医長 | 人工関節 膝関節 |
日本整形外科学会認定 整形外科専門医 緩和ケア認定医 難病指定医 |
| 芝 雄資 | 医師 | 上肢 | 整形外科専門医 |
| 小原 心 | 医師 | 脊椎/脊髄 | 整形外科専門医 |
| 原 佑輔 | 医師 | 外傷/整形一般 | |
| 菊地 啓士朗 | 医師 | 外傷/整形一般 | |
| 榮本 忠隆 | 医師 | 外傷/整形一般 |
| 月 | 火 | 水 | 木 | 金 | |
|---|---|---|---|---|---|
| 午前 |
小久保 |
細 澤 (上肢) |
蔵 本 (脊椎/脊髄) |
小久保 |
武 田 |
|
前 島 |
片 山 (上肢) |
細 澤 (上肢) |
富 田 (脊椎/脊髄) |
蔵 本 (脊椎/脊髄) |
|
| 原 (整形一般/外傷) |
菊 地 (整形一般/外傷) |
富 田 (脊椎/脊髄) |
片 山 |
小 原 (脊椎/脊髄) |
|
|
菊 地 |
芝 (上肢) |
原 (整形一般/外傷) |
小原 (脊椎/脊髄) |
榮 本 (整形一般/外傷) |
|
|
午 後 |
午後なし | 午後なし | 午後なし | 午後なし | 午後なし |
生活様式の変化や、高齢化に伴い、腰痛や肩こりなどの慢性的な痛みに悩む人が増え、整形外科・理学療法科への医療ニーズは増大してきています。 このような状況下、当院は、最新の設備と充実したスタッフにより、専門的な診療を行える整形外科として、より高度でより安全な医療をめざし、努力してまいります。 ここでは日常よく診る疾患について、当院で行っている治療を紹介します。
当院で主に扱っている脊椎脊髄疾患(PDF形式 819キロバイト)
1.腰椎椎間板ヘルニアについて
2.腰部脊柱管狭窄症について
3.腰椎すべり症について
4.頸椎症性脊髄症・頸椎後縦靭帯骨化症について
5.頸椎椎間板ヘルニアについて
変形性膝関節症について(簡易版)(PDF形式 526キロバイト)
変形性膝関節症原因と対応(PDF形式 440キロバイト)
変形性膝関節症人工膝関節(PDF形式 464キロバイト)
変形性膝関節症骨切り術(PDF形式 186キロバイト)
変形性股関節症について(PDF形式 192キロバイト)
前十字靭帯損傷について(PDF形式 689キロバイト)
半月板損傷について(PDF形式 279キロバイト)
ばね指について(PDF形式 469キロバイト)
手根管症候群について(PDF形式 469キロバイト)
マレット変形について(PDF形式 469キロバイト)
多指症について(PDF形式 78キロバイト)
多趾症・多合趾症について(PDF形式 75キロバイト)
変形性膝関節症に対する治療戦略
はじめに
変形性関節症の治療で大事なことは、一度行動範囲が狭まると手術を受け痛みが消失したとしても痛みがなかったころのように動くことはできないので、適切なタイミングでの治療の変更が重要です。
さいたま市立病院では、人工関節手術を受けられる患者さんの治療環境を改善させる目的で平成28年6月より人工関節センターを開設し、3人の医師を配置しました。
人工関節センターの特徴
以上のことに注目し取り組んでおり、さいたま市を中心に埼玉県内より手術を受けに来られる多くの患者さんに満足していただける治療を目指しています。
当院人工関節センターの特徴は、変形性関節症に対し、人工関節手術だけでなく、関節鏡手術、骨切り術など最も適した治療法を提案します。
変形が原因の痛みでも、変形の程度、年齢、どの様な生活を希望しているのか、治療にかけられる時間など人それぞれ治療の環境が異なります。鎮痛剤・湿布・注射・運動療法の継続、鏡視下手術(内視鏡カメラを用いての手術)、骨切り術、人工関節などから選択します。

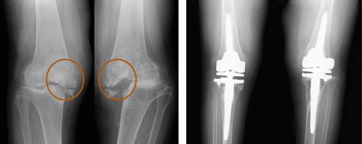
人工膝関節の中で最も多い手術です。下の左側のレントゲンを見ると、内側は、軟骨が消失<オレンジの三角>し、骨棘(刺のように飛び出ている骨〈青の矢印〉)が形成されています。外側は関節の隙間は保たれていますが、やはり骨棘が形成されています。このように内側、外側ともに変形がある時には、骨の表面を軟骨の代わりに金属で覆うようにします。これにより、歩行時の疼痛が改善し、ダンスやゴルフなどの趣味を続けることができます。(詳しくは「人工膝関節置換術について」を参照してください)

変形が軽度で内側に限局した方にお勧めします。膝の曲がりもよく、入院期間も1-2週間程度です。レントゲン画像では内側の軟骨だけが消失し、外側にはほとんど変形が認められません。あまり若い方にはお勧めしていません。(詳しくは「単顆型人工膝関節について」を参照ください)
この方は高度な変形で靱帯機能不全と丸で囲んだ部分の骨が消失しています。これまで重症になりますと家の中を歩くのがやっとになります。このような場合は、欠損部に骨移植をおこない、靱帯の機能をもつ人工関節を使用します。片側だけ手術を行っても手術しない方の膝は不安定で痛みが強く、十分なリハビリができないと判断し、両側を同時に手術しました。当院ではこのように重度な変形の手術も行っております。

ごくわずかですが、いろいろな原因で再置換術(人工関節の入れ替え)を行わなければならないことがあります。そのような目的で来院された場合でも入念な手術前の検査をおこない対応しています。
人工関節を用いず、骨の角度を変えることでO脚を修正し、膝内側への負担を外側に移動させる手術です。O脚が治り膝の角度を正常にすることができます。人工関節では、ランニング・ジョギング・ジャンプなどの衝撃には弱く、手術後はそのようなスポーツは控えなければなりません。今後できる限り、このようなスポーツを続けたい場合にお勧めする手術です。変形が内側(または外側)に限局し、年齢は60才以下、関節拘縮や靭帯損傷がない人を対象とします。
1.「正確な位置に人工関節を設置」2.「適切な靭帯バランスの獲得」です。
当院ではこの課題に対して、人工関節手術を行う医師のチームを組み、手術中あらゆる角度から確認しその精度を高めると共に、ご希望によりナビゲーションを使用したり、オーダーメイド手術(MR検査のデータを使用し、患者さん専用の機械を3Dプリンターで作成し人工関節を装着する手術)を行うことでより精度を高めています。また、せっかく人工関節を正確に設置しても靭帯のバランスが悪いと動きに問題を生じることがあります。当院では、手術中に靭帯のバランスを正確に計測し補正することで、よく曲がり、滑らかな動きを得られるよう努めています。
オーダーメイド手術


手術後の痛みのことです。
この痛みをできる限り取り除くことが、リハビリを順調に行えるだけでなく、手術後の痛みが長期間残るのを防ぐことにもなります。辛い膝の痛みを取り除くために折角手術をしても痛みがいつまでも残ることがあります。この原因の一つに手術前後の激しい痛みの経験が関与していることがわかってきました。このことに対し、当院では
等で対応しています。この為手術直後に、痛みで眠れないなどの辛い思いをすることがなくなりました。また、それ以降も大分軽減しているので手術翌日から無理なく歩行訓練が行えています。また、その後のリハビリに於いても同様で、痛みをいつまでも引きずらないように無理には行わず、その人にあったペースでの訓練を心がけています。
当院では、人工関節センターの開設と同時に慶應義塾大学医学部スポーツ医学総合センターからの医師派遣を受けスポーツクリニックも開設しました。最近は、人工関節手術を受ける理由にスポーツの継続を希望する人がふえてきました。スポーツクリニックと協同で術後のリハビリをスポーツ復帰までサポートします。
また、痛みが長期間続き、外出の機会などが減ると、筋力、体力などが落ちます。一度落ちると回復は難しくなりますが、スポーツクリニックと協力し、栄養、体質改善の運動などを取り入れ、筋力、体力改善に努めます。
関節の変形が、同じ程度進み、同じ程度に痛む人には両側同時手術をお勧めします。両側となると術後2倍痛く、動くことができなくベッドにくぎ付けになり、リハビリも大変だと思われる方も多いと思います。しかし、手術時間も当院では2時間程度で済み、手術翌日からトイレに行かれるようになり、歩くリハビリも始まります。入院期間もほとんど延長することはありません。
当院のアンケートの結果では、両側同時に痛みがなくなり、脚が真っ直ぐになり、立つと左右の膝が接触するようになり、バランスよく速く歩けるようになるなどの理由で、ほとんどの人が満足しています。
当院で手術をおこなった患者さんにアンケートを行ったところ痛みは手術前と比べ平均で1月10日」に軽減していました。8割以上の人は痛くなく歩けるようになっていました。しかし、階段昇降の際には8割程度の人が手摺りを使用していました。これらの結果は、海外で発表されている論文と遜色のない結果でした。
術後に痛みが残る原因に、腰痛や精神的な問題が挙げられます。脊椎外科センターや心療内科の医師と連携し痛みの軽減に努めます。また、スポーツ復帰をサポートすることでさらなる満足度アップに努めています。

当院では患者さんの安心と安全のために、無菌状態で手術することができるクリーンルーム(クラス100)を設置いたしました。
クリーンルームとは、高性能フィルターにより空気中に浮遊する塵埃や細菌等を排除し、同時に温度、湿度、圧力を制御できる空調設備を備え、クラス100の超清浄度と温室条件等を確実に保持できる部屋です。手術によって細菌に感染する可能性はゼロではありません。細菌に感染すると患部が化膿して治療が困難になることがあります。クリーンルームは感染のリスクを減少させるため、特に人工関節置換手術に適しています。患者さんが安心して、安全に手術が受けられるよう手術担当医、麻酔科医、看護師によるチーム医療で努力していきます。
「クラス100」とはどういう意味ですか?
クリーンルームの清浄度は「一定の体積中の基準の大きさ以上の塵埃の数量」で示されます。つまり、数値が低いほど空気中に浮遊する塵や細菌数が少なく、室内が清潔であるといえます。一般の手術室はクラス10000が基準となっています。
左:クラス100中央:クラス10000右:クラス1000000


リハビリテーション訓練の進行には、整形外科の医師、理学療法士および作業療法士で連携しながら行います。リハビリ科のモットーは、「無理をしないリハビリ」です。痛みに耐えながらのリハビリは、つらいだけでなく痛みが後々まで残り手術に対する満足度が低くなる原因にもなります。入院日数を気にすることなくゆっくりとリハビリを行います。また、当院では全国でも数少ない動作解析装置を設置しており、術前後の体幹バランス、歩行動作の解析を行い最先端のリハビリテーションを行っております。
